Genetiikaan ja rhodesiankoirien terveyteen liittyvät asiat on hyvin lähellä sydäntäni. Otsikon TeRRveys alle tulen keräämään tietoa rhodesiankoirien terveyteen liittyvistä asioista. Urakka on kuitenkin melkoinen ja päivityksiä teen muiden kiireiden salliessa.
2020
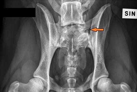
Rhodesiankoirien välimuotoinen lanne-ristinikamia (LTV)

© 2020 Nina Lindqvist All Rights Reserved
