
Olen alkanut käyttämään Topilla ahmimisen estämiseen tarkoitettua kuppia. Tämä kuppi pitää Topin kiireisenä vähän pidempään. Myös tikit on nyt poistettu, ja haavat ovat täysin parantuneet!

Olen alkanut käyttämään Topilla ahmimisen estämiseen tarkoitettua kuppia. Tämä kuppi pitää Topin kiireisenä vähän pidempään. Myös tikit on nyt poistettu, ja haavat ovat täysin parantuneet!
Tänään menimme ensimmäistä kertaa fysioterapiaan. Käymme Kirsti Lindillä Eläinklinikka Moreliuksella, ja hän on aivan huippu! Niin ystävällinen ja rauhallinen. Topi on tosi hyvässä vaiheessa toipumisessa ja voimme aloittaa kävelytyksen! Saatiin myös tosi hyviä kotitreenivinkkejä.
Allaoleva kuva paljastaa juuri sen mitä Topin ei pitäisi nyt tehdä. Topi tavoitteli omenapuuun kukkaa ja ajattelin ottaa sellaisen söpön kuvan kukan haistelusta. Tilannehan eskaloitui silmänräpäyksessä… Alkaa olla pienellä pojalla aika paljon pöhköenergiaa.


Tänään aloitin Topille cartrophen-pistokset. Kyseessä on neljän pistoksen sarja. Sen pitäisi vähentää kipua, jäykkyyttä ja ontumista. Hoitosarja toistetaan kahdesti vuodessa. Olen toiveikas, että tämä estäisi nivelrikkoa!
Operaatiosta on nyt kolme viikkoa ja kaikki on hyvin. Topi saa nyt kävellä 60 minuuttia päivässä. Olemme kierrelleet ympäröivillä pelloilla, mikä on paljon mielenkiintoisempaa kuin vain omassa puutarhassa tepastelu.
Topin suosikkiosio kuntoutuksesta on kaivaminen. Se rakastaa kaivamista ja olin tosi iloinen kun Topin fysioterapeutti suositteli sitä 🙂 Niinpä päivittäinen kaivuuharjoitus on osa kuntoutusohjelmaa!

Tänään Topi kavalettiharjoitukset. Vain muutama minuutti käynnissä. Tavoitteena on saada askel pitenemään, aluksi vain hitusen.
Tänään operaatiosta on kulunut 33 päivää ja kaikki on edelleen tosi hyvin. Kävelyä on nostettu 80 minuuttiin päivässä, ihan kiva määrä mutta ei riittävästi vuosikkaalle. Väsyttämiseen tarvitaan muutakin, ja se on pelit! Ne helpottavat elämää toipumisaikana. Olen onneksi saanut lainaksi pelejä Miljalta, joka omistaa Topin veljen Sulon. Nyt meillä on useita mielenkiintoisia pelejä Topin aivojen väsyttämiseen!
Nyt operaatiosta on kulunut 9 viikkoa ja kaikki sujuu edelleen hyvin. Topin päässä alkaa olla melkoinen määrä hulluutta, ja se muistuttaa enemmänkin laukaisuvalmista rakettia. Toivottavasti päästään pian takaisin normaaliin elämään!
Topin operaatiosta on kohta vuosi. Kuntoutus ja toipuminen sujuivat suorastaan loistavasti, vaikka välillä oli pipo tiukalla omistajalla. Videolla näkyvien peltojen jokainen korsi tuli kyllä tutuksi, kun niillä käveltiin kilometritolkulla.
Syksykin meni hyvin ja Topi pääsi hiljalleen palaamaan normaaliin liikuntaan. Lisääntynyt liikunta ei aiheuttanut mitään oireita. Tammikuussa huomasin ensimmäisen kerran jäykkyyttä Topin liikeradoissa. Rally-treeneissä ei kääntyminen vasemmalle onnistunut kovin ketterästi, ja notkeudessa oli selkeä puoliero. Tässä kohtaa syytin vielä sujuvasti liukkaita kelejä, ja jumppailtiin kotona notkeutta kuntoon.
Helmikuussa pojilla oli astetta rankempi mettälenkki ja seuraavana aamuna Topi olikin sitten kolmijalkainen. Vasen etujalka oli huomattavan kipeä. Saatujen ohjeiden mukaan laitetiin Topi lepoon ja kipulääkkeelle ja vaiva helpottikin. Parin viikon päästä kirmattiin taas entiseen malliin. Samoihin aikoihin alkoi ruokahalu huononemaan, ja Topi alkoi laihtumaan. Olen pitänyt sen hoikkana muutenkin, joten pienikin painonpudotus näkyy tosi selvästi. Varsinaista ontumaa ei enää esiintynyt, mutta kevään korvalla Topi muuttui tosi vaisuksi. Ruokahalu oli huono, ja koira apea. Huomasin sen käyvän mieluusti maaten hyvin nopeasti sellaisissa tilanteissa, missä se on ennen häärännyt mukana. Kun Topi ei enää tullut tervehtimään sohvalta minun saapuessani huoneeseen totesin, että nyt on kyllä jotain pielessä. Kipulääkekokeilu osoitti Topilla olevan selkeästi kipuja, joten ei muuta kuin varaamaan aikaa jälleen tohtorille.
Käytiin ensin omalla eläinlääkärillä Virvellä ottamassa vauhtia ortopedille. Sain onneksi todella nopeasti ajan Aveciin Tiiu Toijalalle. Katastrofointini aikana olin päätellyt, että kaikista toimista huolimatta Topille on muodostunut jo nyt nivelrikkoa ja kipuilee siksi.
Tiiu teki Topille todella kattavan ontumatutkimuksen. Palpaatiolöydöksinä etupäässä oli lähinnä hauisjänteen sekä supraspinatus-lihaksen ja -jänteen kireyttä. Myös infraspinatuslihas oli kireä molemmin puolin.
Liikkeet tänään: Lievä etujalkojen epäpuhtaus suoralla ravissa. Käännöksen jälkeen ensin muutama vasemman etujalan
kevennys, jonka jälkeen oikean.


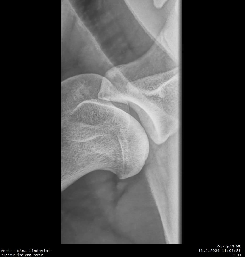
Topilta röntgenkuvattiin olat ja kyynärät. Kyynärissä ei ollut huomauttamista, ja molempien olkien tilanne on olkaluunpään osalta tosi hyvä. Parantuminen on edelleen käynnissä, eikä minkäänlaisia merkkejä nivelrikosta ole. Ja sitten se mutta. Vasemman olan glenoidaalikuopassa näkyy pieni röntgenharva alue. Olkanivelet myös ultrattiin, ei poikkeavia löydöksiä.
On mahdollista että Topilla on nyt sitten osteokondroosi myös tässä lapaluun alaosassa. Asian varmistamiseksi tarvittaisiin jälleen lisätutkimuksia tai jopa uusi tähystysleikkaus. Aiheuttaako tuo glenoidaalikuopas muutos nyt nämä kipuoireet vai ei, kas siinäpä kysymys. Varmaa diagnoosia emme siis tällä käynnillä saaneet.
Tässä on nyt hetki sulateltu uusimpia löydöksiä ja pohdittu jatkoa. Olen saanut näkemyksiä tilanteesta eri ortopedeiltä, ja kyllä ammattilaisten veikkaus on, että Topilla on osteokondroosi myös siellä lapaluun nivelkuopassa. Asian varmistaminen vaatisi jatkotutkimuksia ja niitä vielä pohditaan.

Tällä viikolla päätökseen tuli taas cartrophen-sarjakin. Näillä pistoksilla pyritään estämään nivelrikon muodostumista ja myöhemmin jarruttamaan sen etenemistä. Toistaiseksihan nivelrikkoa ei ole syntynyt, kiitos ehkä näiden pistostenkin. Tilanne on nyt kuitenkin sellainen, että Topi ei ainakaan tänä vuonna maastokisoissa kipittele. Tuskin koskaan. Olisin joka tapauksessa kontrollikuvannut Topin vielä ennen kisaamisen aloittamista, koska kisoissa juoksevan koiran tulee olla ehdottoman terve. Alkavakin nivelrikko päättäisi koiran kisauran tässä taloudessa. Tosi kurjaa, toivoin niin kovasti Topista uutta kisakoiraa :/ Koiran etu edellä mennään tietenkin aina, ja nyt huoli ei ole ennen aikojaan päättyneessä kisaurassa vaan siinä, että saadaanko edes arki sujumaan kivuttomasti.