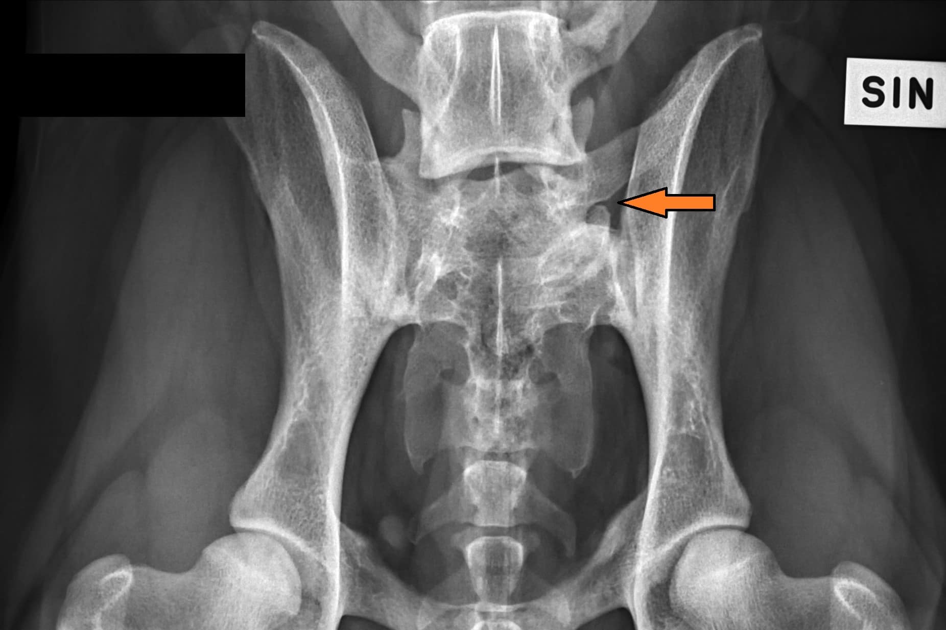
Genetics and health of rhodesian ridgebacks is very close to my hart. Under RR Health I will collect information about breed health. It’s quite a task so it will take some time…
The first post is about lumbosacral transitional vertebra (LTV) in rhodesian ridgebacks.

© 2020 Nina Lindqvist All Rights Reserved
